
2021年6月25-27日,由中国康复医学会脑功能检测与调控康复专业委员会与成都康复医学会联袂主办的第九届华西康复国际论坛暨第三届中国脑功能检测与调控康复高峰论坛在蓉召开。我院神经调控中心康复团队的作品《老崔,你别睡》经过角逐踏进“沃高杯”决赛,最终获得本次大赛全国三等奖。


大赛主题围绕脑康复和脑健康促进,特别是脑功能检测与调控康复等内容,征集了来自全国各地众多参赛作品。经过初赛与现场决赛,由我院神经调控中心医生孙宏毅、神经PT组组长李雨芳、康复治疗师张瑞婷、陈莎莎、魏小勤组成的康复团队共同完成的作品《老崔,你别睡》,凭借先进康复理念、技术与模式,感人至深的真实案例、详细完善的康复方案在诸多作品中脱颖而出,荣获大赛全国三等奖。

康复科普是提升国民健康素养的重要手段,此次顾连神经调控中心康复团队获得“沃高杯”全国三等奖,充分体现了我院团队的专业力量和康复实力,提升了我院在国内康复领域的影响力。未来我们将以更多丰硕的成果,为患者提供精湛的康复服务,以更加昂扬奋进的面貌,迎接中国共产党百年华诞!
《老崔,你别睡》背后故事
“老崔,你别睡。”这样一句看似朋友叮咛的话语,短短五个字背后却藏着一个感人至深的故事。2020年5月,48岁的崔大哥突感头晕,几分钟后便陷入昏迷,家人们呼喊不应后赶紧拨打120把人送往医院。

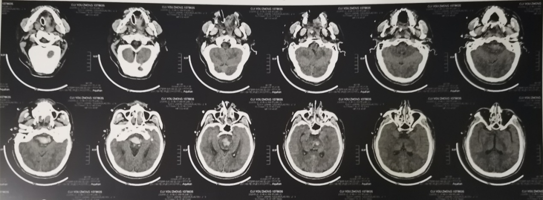
脑干:桥脑出血——相信很多医生看到这几个字,都要不免叹息一声,因为脑干出血是原发性脑出血中最为危重的类型。“脑干虽小,却是各种神经传导束的必经之地,即使微小的病变也可引起较为严重的后果。崔某脑干出血量达到5ml,呈持续性植物状态。”成都顾连锦宸康复医院神经康复科主任江玥解释道。
经过抢救后,崔大哥脱离了生命危险,但却无自主意识,一直处于昏迷状态。妻子李女士陪伴在他身侧,辗转寻求康复7个月仍呈植物状态,亲戚朋友都劝她放弃了吧。
“你说我能放弃么?我已经一无所有了,我不能再失去他了。”凭着一份对爱的执著、家的责任,李女士带着崔大哥来到了成都顾连锦宸康复医院。
神经调控“唤醒”家的希望
刚入院时,崔大哥呈植物状态,睁眼昏迷,仅对威胁有眨眼反应,气管切开、留置胃管、肺部和尿路感染、营养不良等。李女士的希望很简单,就是丈夫能够醒来并回应自己。我院神经康复团队对崔大哥的疾病、身体结构和功能、意识内容和水平、神经电生理进行精确评估后,制定了针对性康复方案。



以神经电生理检测和康复评估为基础,给予综合促醒治疗——采用无创的重复经颅磁刺激、正中神经电刺激、感觉及环境刺激、本体觉刺激、前庭刺激等手段,达到兴奋或抑制局部大脑皮质功能的目的,改善崔大哥的意识、行为、情绪等。
同时辅以关节松动技术、神经肌肉本体感觉促进技术(PNF)、心肺康复训练、前庭平衡训练、体位训练、吞咽训练等手段,帮助患者防治并发症,维持改善肌肉骨关节功能,诱发吞咽反射、改善心肺功能,提高身体体适能。

经过神经康复团队不懈努力,崔大哥从刚来的时候一点意识都没有,到2个多月时逐渐清醒,到可以打开手掌、眨眼、点头、摇头等简单反应,再到听口令用手比心点赞给予家人回应,让历经艰难的陈女士倍感欣慰与鼓舞,也让她和家人们找到了新的生活寄托。

顾连神经调控中心

2021年3月,成都顾连锦宸康复医院成立神经调控中心,为颅脑损伤患者提供基于脑功能评测的靶向脑功能调控服务,针对脑卒中、脑外伤、脑肿瘤等患者提供不同层级的神经调控治疗,分别满足短期控制症状、中期巩固疗效、远期改善神经功能的需求,为患者提供更多更佳治疗选择。







